Casos de radiología de la Clínica Universidad de Navarra
lunes, 28 de enero de 2013
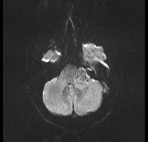
Caso Nº 95
HISTORIA CLÍNICA:
•
Paciente de 42 años, que ingresa para resección de posible schwanoma vestibular izquierdo
No hay comentarios:
Publicar un comentario
Entrada más reciente
Entrada antigua
Inicio
Suscribirse a:
Enviar comentarios (Atom)
No hay comentarios:
Publicar un comentario