miércoles, 28 de enero de 2015

CASO 215

Paciente varón de 41 años del que no sabemos nada, presenta una radiografía de tórax de otro centro:








¿Cuál es el primer diagnóstico que hay que plantear ante esta imagen? 
  Metástasis pulmonares múltiples: patrón en suelta de globos
  Neumonía fúngica
  Émbolos sépticos
  Artritis reumatoide
  Todas las anteriores entrarían en el diagnóstico diferencial.







Después de realizar el TC, cuál de las anteriores es la que sospechamos en este paciente? 

  Metástasis pulmonares múltiples: patrón en suelta de globos
  Neumonía fúngica
  Émbolos sépticos
  Artritis reumatoide
  Todas las anteriores entrarían en el diagnóstico diferencial.


En efecto, todas las patologías mostradas en la pregunta 1 podrían dar una imagen de nódulos pulmonares múltiples, sin embargo, el hallazgo de Nódulos cavitados pulmonares (signo típico de neumonía por S.Aureus), de predominio periférico, que se encuentran al final de un vaso, en un paciente con afectación valvular tricuspídea nos haría sospechar como primera opción en émbolos sépticos..

Caso 214


Paciente de 84 años que acude a urgencias por dolor abdominal, vómitos e hipertransaminasemia.




¿Ante los hallazgos de la ecografía. Cuál consideras qué es el diagnóstico más probable. ?
  Hepatocarcinoma
  Abceso hepático
  Colangiocarcinoma intrahepático
  Ampuloma
  Metástasis única





Tras evaluar el TC del paciente ya tienes el diagnóstico más claro. ¿Qué NO es cierto con respecto a esta patología? ?

  Se ha asociado con enfermedades como las litiasis biliares, la colangitis piógena recurrente o la colangitis esclerosante primaria
  En fases tardías estos tumores presentan característicamente realce persistente debido al estromo fibroso.
  La supervivencia a los 5 años es de un 70%
  En el diagnóstico diferencial se debe incluir el seudotumor inflamatorio del hígado.
  Cuando la tumoración afecta al conducto hepático proximal sse denomina tumor de Klatskin

Caso 213


Niña recién nacida con síndrome de Down que horas después del naciemiento comienza con vómitos biliosos e intolerancia alimenticia. Dada la sintomatología, se decide realizar una radiografía:


¿Qué signo radiológico vemos en esta paciente?
  Cuello de cisne
  Corazón de manzana
  Doble burbuja
  Yin y Yang
  Pico de pájaro


Muy bien, es un signo radiológico de la atresia duodenal. Respecto a esta patología...


¿Cuál de las siguientes afirmaciones es correcta?

  Suele diagnosticarse a los 18 meses, una vez se ha cerrado la fontanela anterior
  Se asocia característicamente a síndrome de Down
  El tratamiento nunca es quirúrgico
  Se asocia a oligohidramnios
  Tiene una incidencia de 1 cada 50 nacimientos

Caso 212


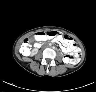
Paciente varón de 55 años que acude a urgencias con dolor en flanco derecho. En la analítica destaca un aumento de la Proteína C reactiva y una marcada leucocitosis. Posteriormente se realiza un TC abdominal:



¿Qué le llama la atención en estas imágenes?

  Nada, el TC es absolutamente normal.
  Un aumento de partes blandas paracólico con centro hipodenso.
  Un gran hematoma hiperdenso.
  La presencia de gas en cavidad peritoneal.
  Neumatosis intestinal. Muy bien, observamos un aumento de partes blandas paracólico derecho con centro hipodenso, hallazgos que son compatibles con un infarto omental, o una apendagitis.

¿Cuál es el tratamiento indicado para dicha patología?

  Colonoscopia y biopsia transmural para confirmarlo.
  Colostomía de descarga hasta que ceda el proceso agudo.
  Administración de pauta antiinflamatoria y antibiótica empírica.
  Colectomía para resecar el cólon afecto.
  Embolización intraarterial selectiva.

Caso 211

Mujer de 28 años. Dolor en fosa ilíaca izquierda irradiado a zona inguinal, nauseas y vómitos.Sospecha cólico nefrítico.


¿Ante los hallazgos de las imágenes de radiografía simple y TC. Seleccione la respuesta correcta. ?
  Se identifica una imagen hiperdensa en pelvis menor izquierda que es compatible con una litiasis renal y que está condicionando un cólico renal
  No se identifica una causa que justifique el dolor agudo de la paciente
  Se identifica una masa heterogénea a nivel del anejo izquierdo.
  Se observan múltiples imágenes hipodensas en el hígado muy sugestivas de corresponder con una poliquistosis hepática.
  Se identifica un gran fecaloma que probablemente esté condicionando el dolor abdominal.

¿Que es cierto con respecto a las complicaciones de la patología que presenta la paciente ?
  Los tumores pueden romperse, causando fugas del contenido sebáceo hacia el peritoneo, ocasionando peritonitis granulomatosa. Esta es una complicación frecuente, ocurriendo en 50 %de los casos.
  El sarcoma es el tipo de degeneración maligna más común lo que representa más del 80% de los casos.
  La presencia de una trompa y un pedículo vascular torsionado ("signo del remolino") debe hacernos sospechar la torsión ovárica
  La transformación maligna suele ocurrir en la tercera década de la vid
  En las primeras etapas o en el caso de torsión, se obstruye el flujo arterial y linfático, persistiendo el venoso, conduciendo a un edema masivo del ovario

CASO 210


Paciente varón de 50 años que acude al servicio de urgencias por dolor abdominal intermitente de inicio reciente asociado a vómitos. Refiere última deposición el día anterior.Tras los hallazgos observados en la placa de abdomen, se decide realización de TC abdominal con contraste:

 

¿Ante la patología que sufre nuestro paciente, ¿Qué causa debemos pensar como más probable?
  Fibrosis quística
  Viral
  Neoplasia de intestino delgado
  Idiopática
  Anisakis


¿Cuál de las siguientes afirmaciones es falsa?

  El patrón en diana es la forma más precoz de presentación.
  La TC de abdomen y pelvis con contraste oral e intravenoso ha demostrado ser el método                    diagnóstico más adecuado para la evaluación de la invaginación.
  Entre el 70-80% asientan a nivel del colon.
  En los adultos, la alta probabilidad de lesión subyacente hace que en la mayoría de los casos se            recomiende cirugía inicialmente.
   En algunos casos se puede observar una atenuación grasa en el interior, correspondiente al meso         invaginado.

CASO 209


Paciente de 64 años. Síndrome febril de origen desconocido con reactantes de fase aguda en estudio. Posible infección de orina. Se realiza TC de abdomen con contraste:



¿Cuál es el diagnóstico más probable?
  Pielonefritis crónica
  Infarto renal
  Pielonefritis aguda
  Carcinoma de células transicionales
  Quiste renal

En un TC con contraste, ¿Qué hallazgos no son típicos de esta patología?

  Captación mínima en exploraciones con mucho retardo.
  Estriación de la grasa perirrenal.
  Áreas ovaladas.
  Signo del reborde cortical.
  Áreas en forma de cuña.

CASO 208

 Estamos en temporada de gripe, y nuestra paciente, una señora de 88 años presenta clínica respiratoria con fiebre, por lo que se le realiza una Rx de tórax:







¿Cuál es la causa de los síntomas respiratorios de esta paciente?

  Presenta una placa dentro de la normalidad, probablemente sea una gripe común
  Presenta una placa patológica, secundaria a su cardiopatía de base, pero no se observan focos claros de consolidación claros,probablemente sea una gripe
  Presenta una masa en el hilio derecho y una atelectasia completa del lóbulo inferiore derecho
  Presenta hallazgos sugestivos de neumonía típica, con una consolidación en el lóbulo inferior derecho y derrame pleural asociado
   Presenta hallazgos compatibles con una neumonía cavitada.














Se realizó una TC  durante el ingreso , en la que se observa una estructura que ocupa el centro de la imagen,




¿Sabría decir de qué estructura se trata?
  Es una gran adenopatía, con captación irregular de contraste, sugestiva de malignidad
  Se trata de una hernia de hiato masiva
  Es la aurícula izquierda de la paciente
  Es una masa mediastínica, altamente sugestiva de linfoma
  Es un absceso infecciosos, secundario a la patología antes mencionada



La imagen mostrada es la aurícula de la paciente. En la radiografía de tórax hemos visto signos de cirugía cardíaca y una prótesis valvular mitral, por lo que es esperable encontrar una aurícula aumentada de tamaño. Las irregularidades que vemos en la imagen se deben a las irregularidades del contraste intravenoso que se dan en una aurícula de este tamaño.

CASO 207

Paciente de 50 años que consulta por importante dolor de rodilla con aumento de partes blandas.
Se le realiza RM observándose las siguientes imágenes:














¿Qué hallazgos observa? 

   Solución de continuidad y cambios de señal del ligamento cruzado posterior con quiste paramensical
  Focos contusivos en cóndilos femorales
  Desplazamiento medial del cuerno posterior del menisco externo
  Solución de continuidad del cuerno posterior del menisco interno
  Quiste de baker

  ¿El diagnóstico más probable es:? 

  Rotura del ligamento cruzado posterior
  Rotura simple del menisco interno
  Rotura compleja en asa de cubo del menisco externo
  Rotura simple del menisco externo
  Meniscos de aspecto normal con presencia de derrame articular

caso 206

Paciente de 45 años que consulta por dolor de rodilla. Se realiza RM observándose las siguientes imágenes:


:
¿Qué hallazgos observa en las siguientes imágenes??
  Alteración de señal del ligamento cruzado posterior con horizontalización del mismo
  Quiste en el interior del ligamento cruzado anterior
  Lesiones condrales y subcondrales relativamente amplias en compartimento lateral
  Pequeña solución de continuidad de cuerno posterior del menisco interno que contacta con el margen inferior de la superficie articular
  3 y 4 son correctas
¿Cúal es su diagnóstico ?
  Rotura compleja en asa de cubo del menisco interno
  Rotura simple del menisco externo
  Rotura simple del menisco interno
  Irregularidad en el grosor del cartílago y edema subcondral, en el compartimento lateral, sugestivos de patología artrósica
  2 Y 4 SON CORRECTAS   3 Y 4 SON CORRECTAS

Caso 205



Paciente de 29 años con antecedente de traumatismo en mano izquierda.





A cerca de esta radiografía señale la correcta:

  Es una fractura en la falange proximal tipo II de Salter y Harris.
  Únicamente con la proyección AP podemos asegurar que es una fractura con dos fragmentos óseos.
  Es una fractura de trazo oblicuo que afecta a la base de la falange proximal del quinto dedo, que no llega a afectar al componente articular.
  Esta fractura muestra cierta angulación de los fragmentos con una congruencia completa.




Respecto a la descripción de las fracturas en la placa simple señale lo incorrecto:

  El trazo de fractura puede ser trasnversal, longitudinal, oblicuo o espiroideo.
  Si se observan más de cinco fragmentos se habla de una fractura conminuta.
  Al describir la angulación de los fragmentos, debemos describir la perdida de la alineación según la dirección que toma el fragmento distal frente al proximal.
  La afectación articular es un aspecto importante a mencionar parar el pronóstico de las fracturas.

Caso 204

Paciente de 33 años. Revisión de mano derecha.


 


¿Cual sería la afirmación correcta a cerca de esta lesión ?
  Probablemente es maligna, ya que destruye la cortical, tiene reacción perióstica e infiltra partes blanda.
  Se localiza en la epífisis del tercer metacarpíano y tiene un componente tanto lítico como blástico.
  En esta radiografía observamos dos lesiones óseas, una lítica y otra blástica, ambas de características benignas.
  Por su tamaño, componente lítico y edad del paciente lo más probable es que sea una lesión maligna.


Ante dichos hallazgos, ud. plantearía como diagnósticos diferenciales:
  Condrosarcoma para la lesión metacarpiana y un osteoma para la lesión del grande.
  Metástasis lítica en el metacarpiano y blastica en el grande.
  Las características de la lesión metacarpiana sugieren como único diagnóstico el ganglión óseo grande.
  Encondroma ó tumor de célular gigantes para la lesión metacarpiana.

CASO 203

Paciente de 33 años que acude para estudio de hematuria de dos años de evolución. Aporta una ecografía y TC abdominal informados como normales.
¿Repasando la anatomía. ¿Cuál de estas afirmaciones es falsa?
  Arteria renal derecha.
  División posterior.
  División anterior.
  Ramas pélvicas
  Ramas interlobares
¿Cuál de estas afirmaciones es verdadera?
  La arteriografía renal es normal.
  Se identifican defectos de perfusión corticales que pueden estar en relación con áreas isquémicas.
  En el polo superior del riñón se identifica una masa hipervascular que podría corresponder con una neoplasia o una malformación arteriovenosa.
  Ante la clínica y edad de la paciente una de las patologías a sospechar es el tumor cirsoide o malformación arteriovenosa espontánea.
  El tumor cirsoide se detectaría en la angiografía renal como conexiones arteriovenosas con visualización de capilares entre ambos.

CASO 202

Varón de 72 años que consulta por melenas. En la analítica se detecta una hemoglobina de 8,2 (siendo la hemoglobina previa de 10,2 hace tres meses). Se le realiza gastroscopia y colonoscopia que son normales. Como antecedentes destacar colecistectomía hace 12 años y diverticulosis colónica. No sigue ningún tipo de tratamiento farmacológico.

¿Cuál de estas afirmaciones es falsa?

  Estamos ante una arteriografía selectiva en la región de la transición de colon transverso con ángulo esplénico.
  Se ha cateterizado selectivamente la arteria mesentérica inferior.
  Se identifica un seudoaneurisma dependiente de una rama muscular que nace del segmento de arteria marginal.
  Se identifica extravasación de contraste a partir de una rama muscular que nace del segmento de arteria marginal.
  Se introducen microcoils con los que se aisla la zona de hemorragia.

¿Cuál de estas afirmaciones es falsa?

  Ante un cuadro de melenas debemos sospechar una hemorragia digestiva baja. En este caso las principales causas del sangrado son diverticulosis o angiodisplasias.
  La hemorragia digestiva baja normalmente es intermitente y autolimitada por lo que el tratamiento de inicio será médico.
  En los casos en los que se requiera un tratamiento invasivo, la infusión de vasopresina es uno de los principales métodos terapéuticos.
  Entre los distintos agentes embólicos que se pueden utilizar se incluyen: esponjas de gelatina absorbible, alcohol de polivinilo u otras partículas esféricas, microcoils y agentes embólicos líquidos.
  De entre todos los agentes embólicos, los más utilizados son los microcoils debido a su implementación controlada y los buenos resultados clínicos.