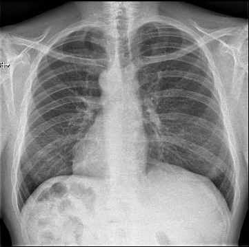
La placa de tórax PA y lateral es la siguiente.
Una masa mediastínica
Una masa bronquial que desplaza el mediastino hacia la derecha
Una debilidad diafragmática izquierda
Ninguna de las anteriores
Infecciones respiratorias de repetición
Dolor precordial
Hemoptisis
Dolor lumbar


No hay comentarios:
Publicar un comentario